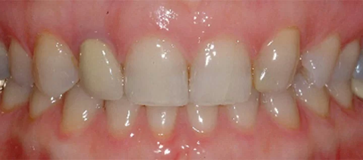
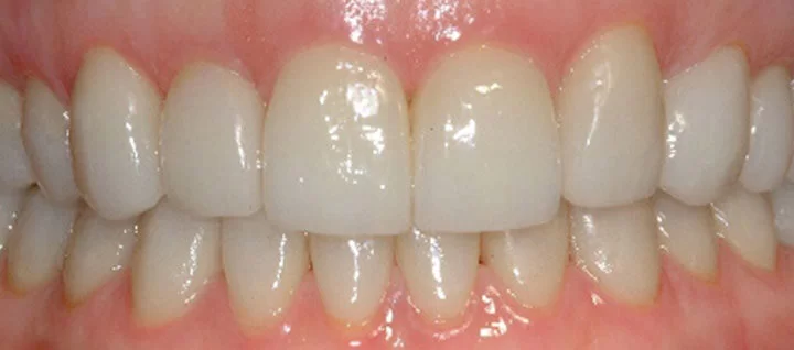
Metal
Free Fillings
Tatum Dentistry has exclusively used tooth colored fillings since 1996. Tooth colored fillings closely match your natural tooth’s color, appearance, and texture.
In addition, they can cosmetically alter the size and shape of teeth by closing gaps, repairing chips, and giving the appearance of straighter teeth. Whether you’re in need of new fillings or are considering replacing your traditional silver/mercury fillings, tooth colored fillings are an ideal solution.