How We Are Keeping You Safe Featured on Abc News 4

Your new smile is waiting. Let's get started.

Invisalign

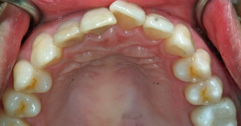
Tooth Image 1
Tooth Image 3
Tooth Image 5
Tooth Image 6
Tooth Image 3

Visit Invisalign.com on your mobile phone to try the Invisalign® SmileView™ right now.

Invisalign Treatment Image

Invisalign,

Clear Aligners

Invisalign is a cutting-edge solution made to move teeth that uses clear aligners as an alternative to traditional metal braces.

Tatum Dentistry has provided this cosmetic solution as a certified Invisalign provider since 2004, changing hundreds of smiles. Whether you are 7 or 87, get to your best smile with Invisalign!

Invisalign with Megan Stokes Instagram Influencer @meganStokes

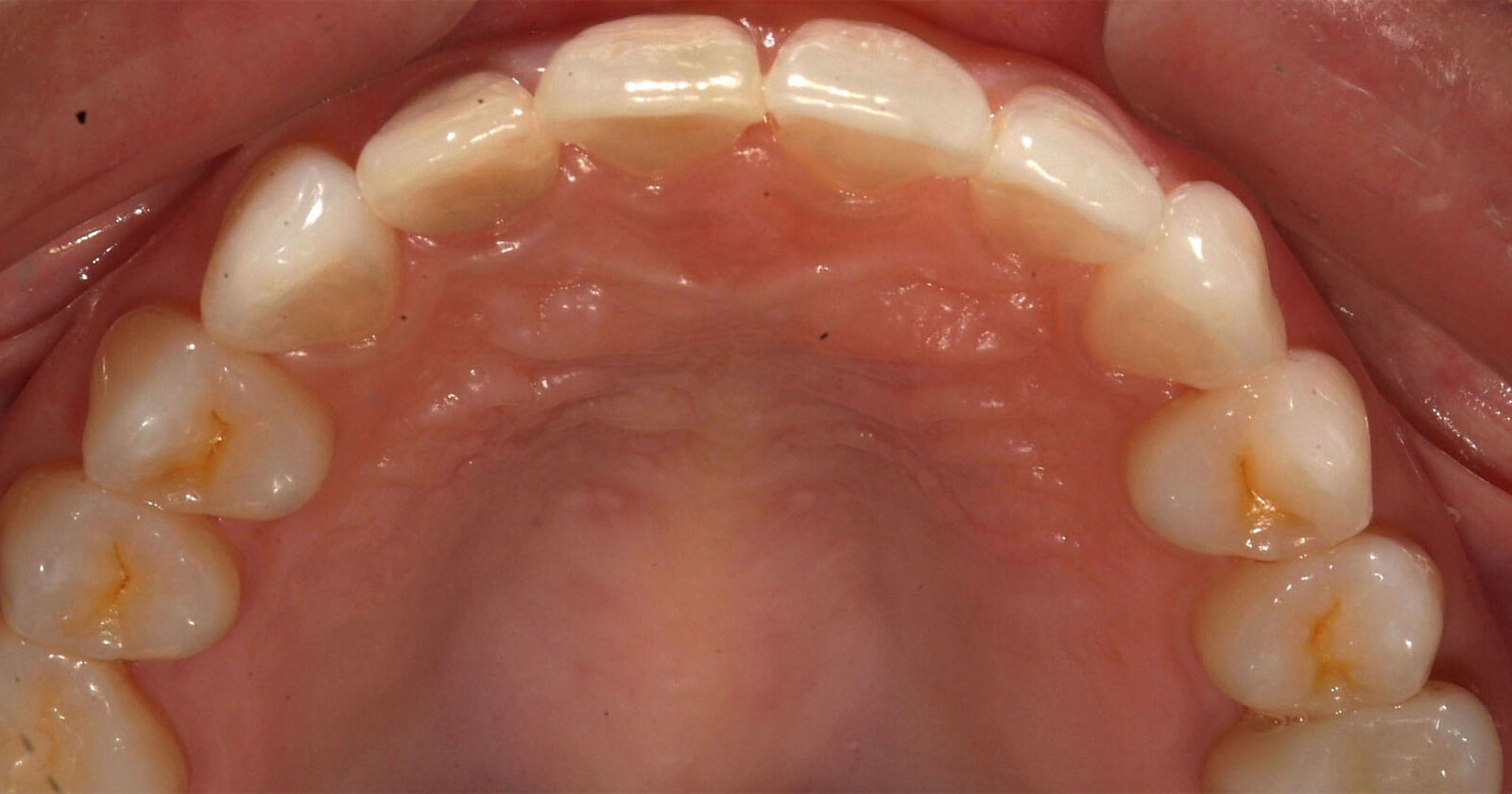
Invisalign Image 3
Invisalign Image 2
Invisalign Image 3
Invisalign Image 4

Hear from Megan Stokes

iTero Element 5D receives “Best New Technology Solution for Dentistry” in 2020 MedTech Breakthrough Awards

MedTech Breakthrough is an independent market intelligence organization that recognizes the top technology product companies in the global health and medical technology market. The goal of the MedTech Breakthrough Awards is to honor excellence and recognize innovation, hard work and success in a range of health and medical technology categories. Read more on the 2020 Medtech Breakthrough Awards win..

iTero 3D Scan
iTero Element Scanner

Are your detection skills unmatched? Put your skills to the test with the iTero Element 5D game.

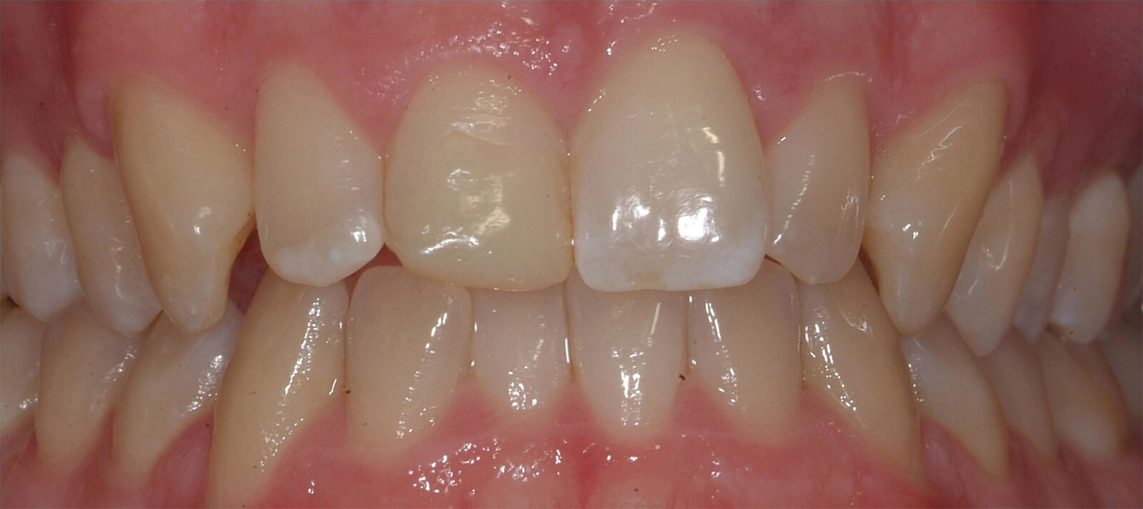
Invisalign Before 2
Invisalign After Treatment 1

You can schedule your Invisalign treatment today with financing options through CareCredit with options as low as $95/month for those who qualify.

Cosmetic Dentistry Image
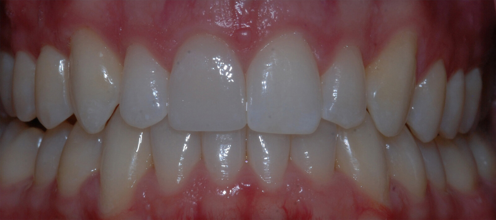
After Treatment Image
GREAT OPPORTUNITY

We are Hiring

Dental Hygienist

We’re Hiring a Dental Hygienist due to one of our amazing hygienists relocating out of SC!

Book An Appointment
SCHEDULE APPOINTMENT